Blepharoplasty (Eyelid Surgery)

Dr. Helm has over 25 years of experience performing both upper and lower eyelid blepharoplasty for both functional and cosmetic purposes. Redundant upper eyelid skin, called “dermatochalasis” can obstruct one’s upper field of vision and also contribute to chronic ocular fatigue. Fatigue results because in order to lift the eyelid skin up and out of the way, the forehead muscles are working extra during all waking hours. When this is the case, supporting documentation including photographs and visual field (peripheral vision) tests are submitted to your insurance carrier to obtain preauthorization for surgery. Insurance does not cover lower lid blepharoplasty. When this is done in conjunction with upper lid surgery there is an extra charge.

Upper lid blepharoplasty typically takes about 50 minutes to an hour to perform. Lower lid surgery may take an additional 30 minutes depending upon what is needed. Surgery is performed under iv sedation and is entirely painless. After surgery there will be swelling but very little discomfort if any. Most people are swollen for a couple of weeks. Eyelid surgery typically results in a sense of improved vision and a lessening of eyestrain. The goal of surgery is generally not to change your look but improve your functioning and enhance your appearance!

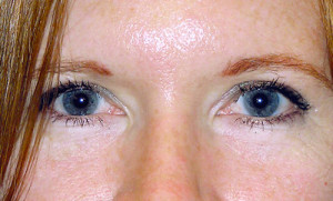
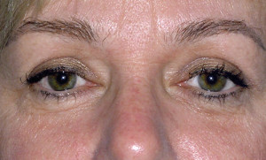
Feel free to come into our office to look through more photographs of our results! The post-op photos are generally taken about 7 weeks after surgery. Patients are not instructed to wear or not wear make-up and the pictures are “as is”.


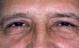
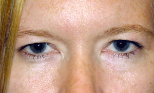
Eyelid Surgery Before

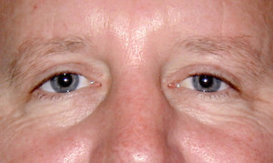
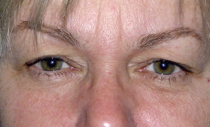
Eyelid Surgery After

If You Have Any Questions Call Us At +1-661-259-3937